Preventative Services
Fluoride Treatments
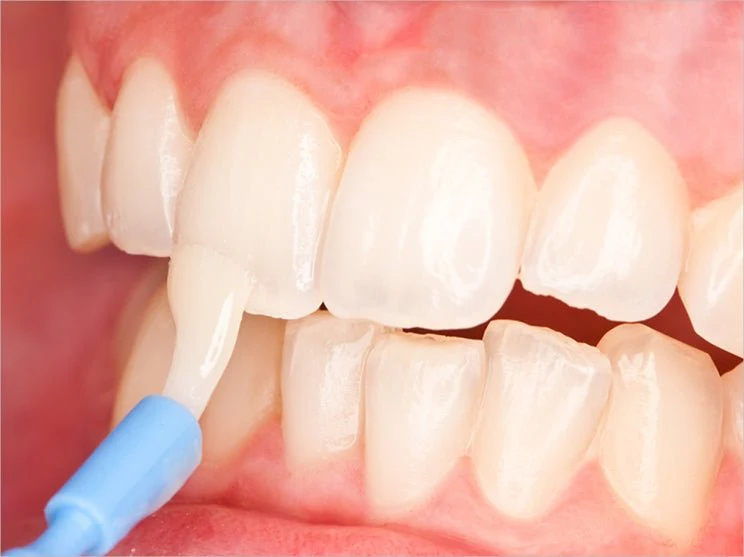
Strengthen your teeth and protect against decay with a proactive fluoride treatment—an effective way to support long-term dental health.
Fluoride treatments are a simple yet powerful way to prevent tooth decay and protect your smile. At Waterfront Family Dental, TMJ & Implant Center, we offer professional fluoride applications that help reinforce tooth enamel and reduce the risk of cavities by creating a strong, protective barrier on the surface of your teeth.
Why Fluoride Matters
Fluoride is a naturally occurring mineral that plays a vital role in dental health. It works by strengthening enamel, reversing early signs of tooth decay, and helping prevent further damage. While daily brushing and flossing are essential, incorporating fluoride treatments adds an extra layer of protection—especially for children, patients with a history of cavities, or those at higher risk for decay
Types of Fluoride Applications
There are two main types of fluoride protection:
- Systemic Fluoride – Consumed through sources like fluoridated drinking water or dietary supplements, systemic fluoride helps strengthen teeth from the inside out as they develop beneath the gums.
- Topical Fluoride – Applied directly to the surface of the teeth, topical fluoride strengthens existing enamel and helps prevent dental caries. Topical applications come in various forms, including toothpaste, mouth rinses, and professional treatments such as gels, foams, or varnishes provided during routine dental visits.
Benefits of Professional Fluoride Treatments
- Quick, non-invasive procedure
- Helps prevent cavities and tooth sensitivity
- Strengthens weakened enamel
- Safe for both children and adults
- Supports long-term oral health
After receiving a fluoride varnish at Waterfront Family Dental, you can return to eating and drinking almost immediately. Depending on your oral health needs, fluoride treatments may be recommended every 3 to 12 months.
Supplemental At-Home Fluoride Products
To maintain results between visits, we may also recommend at-home fluoride products such as:
- Prescription-strength mouthwashes
- Fluoride gels
- Antibacterial rinses
These additional tools help ensure continuous protection and promote overall dental wellness between your professional treatments.